Radiografía dental: cuáles existen y cómo saber cuál es la indicada según tu problema

Por ejemplo, cuando el dentista te dice:
👉 “Necesitamos una radiografía dental”

Es normal que aparezcan dudas como:

  • ¿Cuál radiografía dental necesito?
  • ¿Todas sirven para lo mismo?
  • ¿Cuál debo pedir según mi problema?
  • ¿Es segura?
  • ¿Por qué a veces piden más de una?

En primer lugar, la realidad es esta 👉 no todas las radiografías dentales son iguales, y elegir la correcta es clave para un diagnóstico preciso.

Mientras tanto, en este artículo te explicamos, desde la perspectiva del paciente, qué tipos de radiografía dental existen en DICORSA, cuándo se necesita cada una y cuál es la indicada según tu problema dental, usando un lenguaje claro, sencillo y sin tecnicismos innecesarios 😊


🧠 ¿Qué es una radiografía dental y por qué es tan importante?

Una radiografía dental es un estudio de imagen que permite ver lo que no es visible a simple vista, como:

🦷 Raíces dentales
🦷 Hueso
🦷 Nervios
🦷 Infecciones ocultas
🦷 Caries profundas
🦷 Dientes retenidos
🦷 Articulaciones
🦷 Alteraciones del crecimiento

📌 En consecuencia, sin una radiografía adecuada, muchos problemas no se detectan a tiempo, lo que puede provocar tratamientos incompletos o tardíos.

Por eso, más que “tomar una radiografía”, lo importante es saber cuál radiografía dental pedir según el problema.


📸 Tipos de radiografía dental que se realizan en DICORSA

En primer lugar, en DICORSA contamos con una gama completa de radiografías dentales intraorales y extraorales, cada una con un propósito específico dentro del diagnóstico odontológico.

A continuación te explicamos para qué sirve cada una y cuándo se recomienda, desde el punto de vista del paciente 👇


🦷 Radiografías intraorales: cuando se necesita ver el detalle

Por otro lado, las radiografías intraorales se toman dentro de la boca y permiten observar con gran precisión un diente o una zona específica.

🔹 Radiografías periapicales

Estas radiografías muestran:

  • El diente completo
  • La raíz
  • El hueso que lo rodea
  • La zona cercana al nervio

📌 Se recomiendan cuando:

  • Hay dolor localizado
  • Sospecha de infección
  • Antes o después de una endodoncia
  • Golpes o traumatismos dentales
Radiografías intraorales: cuando se necesita ver el detalle

🔹 Radiografías periapicales digitales

Son una versión más moderna y ecológica ♻️

✨ Ventajas:

  • Eliminan el proceso de revelado químico
  • Menor impacto ambiental
  • Imagen más nítida
  • Mínima distorsión

📌 Ideales para una revisión integral de los dientes y estructuras cercanas.


😬 Radiografías extraorales: visión amplia del sistema dental y facial

Las radiografías extraorales permiten observar estructuras más grandes, como maxilares, cráneo, senos nasales y articulaciones.


🔹 Radiografía panorámica

Es la radiografía dental más utilizada.

Permite valorar en una sola imagen:

  • Todos los dientes
  • Maxilar y mandíbula
  • Articulaciones (ATM)
  • Procesos inflamatorios
  • Lesiones traumáticas o patológicas

📌 Se recomienda cuando:

  • Hay dolor general
  • Evaluación inicial
  • Muelas del juicio
  • Ortodoncia
  • Planeación de tratamientos
Radiografía panorámica

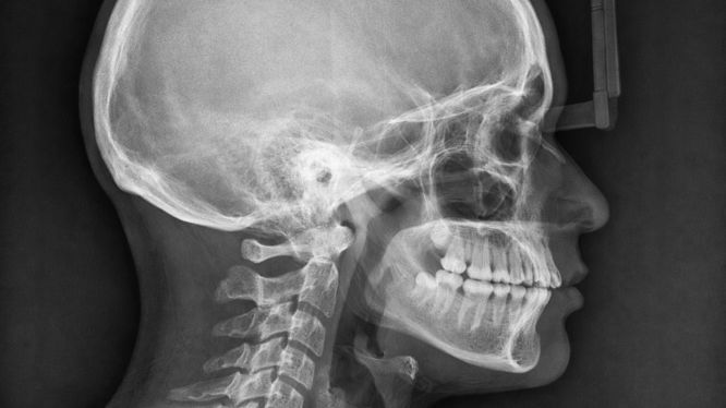
🔹 Radiografía lateral de cráneo

Es fundamental en ortodoncia.

Permite:

  • Evaluar la relación entre maxilar y mandíbula
  • Realizar trazado cefalométrico
  • Predecir crecimiento facial

📌 Se solicita antes de tratamientos de ortodoncia, ortopedia o cirugía ortognática.

Radiografía lateral de cráneo

🔹 Radiografía carpal

Indicada principalmente en niños y adolescentes 👧🧒

Además, sirve para:

  • Comparar crecimiento óseo con edad cronológica
  • Determinar el mejor momento para iniciar ortodoncia u ortopedia

📌 Es clave para tratamientos bien planeados y a tiempo.

Radiografía carpal

🔹 Radiografía Waters

Se utiliza para evaluar:

  • Senos maxilares
  • Rebordes orbitarios
  • Hueso malar

📌 Como resultado, es útil en casos de:

  • Problemas sinusales
  • Poliposis nasal
  • Fracturas faciales
Radiografía Waters

🔹 Radiografía Caldwell

Además, permite observar:

  • Senos nasales
  • Maxilares
  • Fracturas del cuello del cóndilo
Radiografía Caldwell

🔹 Radiografía antero-posterior

También se solicita para:

  • Localizar fracturas
  • Detectar quistes o tumores
  • Evaluar zonas medias y posteriores del cráneo
Radiografía antero-posterior

🔹 Radiografía postero-anterior

Permite un análisis completo del cráneo para:

  • Valorar asimetrías
  • Densidad ósea
  • Patologías generales

🔹 Radiografía ATM

Por lo tanto, evalúa la articulación temporomandibular, permitiendo analizar:

  • Anatomía articular
  • Trayectoria del cóndilo
  • Alteraciones funcionales
  • Fracturas del cóndilo o rama mandibular

📌 De este modo, es indicada en casos de:

  • Dolor mandibular
  • Chasquidos
  • Dificultad al abrir o cerrar la boca
Radiografía ATM

🤕 ¿Qué radiografía dental necesito según mi problema?

Mientras tanto 👇

🦷 Dolor en un diente específico
👉 Radiografía periapical / periapical digital

🦷 Dolor general o revisión completa
👉 Radiografía panorámica

😬 Ortodoncia
👉 Radiografía panorámica
👉 Radiografía lateral de cráneo
👉 Radiografía carpal (en niños)

🦷 Muelas del juicio
👉 Radiografía panorámica

🤕 Golpes o traumatismos
👉 Radiografía periapical
👉 Radiografía antero-posterior o postero-anterior

😖 Dolor en la mandíbula o ATM
👉 Radiografía ATM

👃 Problemas de senos maxilares
👉 Radiografía Waters o Caldwell


🔬 Radiografía dental vs tomografía (explicación breve)

  • Radiografía dental: imagen 2D, diagnóstico general o localizado
  • Tomografía: imagen 3D, casos complejos, implantes o cirugía

📌 Sin embargo, no todos los casos requieren tomografía.
De este modo, el estudio correcto depende del diagnóstico clínico.


☢️ ¿Las radiografías dentales son seguras?

Sí ✅
Hoy en día, las radiografías dentales utilizan dosis mínimas de radiación, especialmente con equipos digitales.

✔️ Estudios rápidos
✔️ Tecnología moderna
✔️ Protección adecuada
✔️ Beneficio diagnóstico muy superior al riesgo


🏥 ¿Por qué realizar tu radiografía dental en un centro especializado?

Porque no solo importa tomar la imagen, sino:
✔️ La calidad del equipo
✔️ La experiencia del personal
✔️ La correcta interpretación

Además, en DICORSA, cada estudio está pensado para apoyar un diagnóstico odontológico confiable, evitando errores y repeticiones innecesarias.


📍 Si necesitas un estudio confiable, claro y adecuado a tu problema dental, en DICORSA contamos con la gama completa de radiografías dentales, tecnología de vanguardia y personal especializado.

📌 Agenda tu estudio con confianza
📌 Recibe orientación sobre qué radiografía dental necesitas
📌 Resultados precisos para tu dentista

👉 Radiografía dental en Querétaro
👉 Diagnóstico odontológico en Querétaro

🦷✨ En conclusión, un buen tratamiento comienza con la imagen correcta. Confía en especialistas.

Servicios

  • Paquete Digital
  • Paquete Impreso
  • Equipo Juriquilla
  • Equipo Ejército Republicano
  • Escáner Intraoral
  • Radiografía Water
  • Radiografía Caldwell
  • Radiografía Carpal
  • Radiografía ATM
  • Radiografía Antero Posterior
  • Radiografía Postero Anterior
  • Radiografía Lateral de Cráneo
  • Radiografía Panorámica
  • Series Periapicales
  • Radiografía Periapicales Digitales
  • Fotografía Clínica Intraoral
  • Fotografía Clínica Extraoral
  • Modelos de Estudio
  • Modelos Digitales
  • Trazado Cefalométrico

Deja un comentario