¿Sabías que muchos problemas dentales comienzan en silencio?
Sin dolor.
Sin molestias.
Sin señales visibles.
Y cuando el dolor aparece… muchas veces el problema ya está avanzado 😟.
Aquí es donde entra en juego una gran aliada de tu salud bucal:
👉 la radiografía dental preventiva.
En este artículo te explicamos por qué la radiografía dental no es solo para cuando algo duele, sino una herramienta clave para cuidar tu sonrisa antes de que aparezcan los problemas.
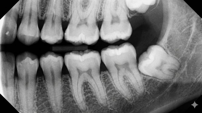
🧠 ¿Qué es una radiografía dental y por qué es tan importante?
La radiografía dental es un estudio de imagen que permite observar lo que no se ve a simple vista durante una revisión clínica:
- El interior del diente
- Las raíces
- El hueso que sostiene tus piezas dentales
- Zonas ocultas entre dientes
- Áreas profundas bajo la encía
Es decir, nos muestra lo que el espejo no puede 👀🦷.
Cuando se usa con enfoque preventivo, se convierte en una herramienta poderosa para detectar problemas antes de que causen dolor o daño irreversible.

🛑 El gran error: esperar a sentir dolor
Muchas personas piensan:
“Si no me duele, estoy bien”
Pero en odontología, el dolor suele ser una señal tardía ⚠️.
📌 Hay enfermedades dentales que avanzan durante meses o incluso años sin causar molestias, como:
- Caries internas
- Infecciones en la raíz
- Pérdida ósea
- Quistes o lesiones
- Problemas en dientes retenidos
👉 Cuando duele, el tratamiento suele ser más complejo, costoso y largo.
Por eso, no deberías esperar al dolor para realizarte una radiografía dental.
🌱 Radiografía dental preventiva: ver hoy para evitar problemas mañana
La radiografía dental preventiva se realiza aunque no tengas síntomas, con el objetivo de:
✅ Detectar alteraciones en etapas tempranas
✅ Monitorear la salud dental a lo largo del tiempo
✅ Tomar decisiones antes de que exista daño
✅ Evitar tratamientos invasivos en el futuro
Es como un chequeo médico de rutina, pero enfocado en tu salud bucal 🦷💙.
🔍 ¿Qué problemas se pueden detectar SIN síntomas?
Una radiografía dental de rutina puede revelar situaciones que pasan totalmente desapercibidas:
🦠 Caries ocultas
Especialmente entre dientes o debajo de restauraciones antiguas.
🧬 Infecciones en la raíz
Pueden no doler durante mucho tiempo, pero afectar el hueso.
🦴 Pérdida ósea
Clave para prevenir enfermedades periodontales y movilidad dental.
🦷 Dientes retenidos o mal posicionados
Frecuente en muelas del juicio.
⚠️ Lesiones, quistes o cambios anormales
Que solo son visibles mediante estudios de imagen.
👉 Detectar esto a tiempo puede marcar la diferencia entre conservar o perder un diente.

⏰ Entonces… ¿cuándo hacer una radiografía dental?
Una de las preguntas más comunes es:
👉 ¿cada cuánto se recomienda una radiografía dental?
La respuesta depende de cada paciente, pero de forma general:
🦷 Pacientes sanos:
- Radiografía dental de rutina cada 12 a 24 meses
🦷 Pacientes con antecedentes de caries o tratamientos previos:
- Cada 6 a 12 meses, según indicación profesional
🦷 Pacientes en seguimiento o prevención específica:
- Según el plan recomendado por su dentista
📌 Lo importante es entender que no se trata de “hacer estudios por hacerlos”, sino de utilizarlos estratégicamente para cuidar tu salud dental.
🤝 La radiografía dental como aliada de la prevención
La radiografía dental preventiva no busca alarmar, sino anticiparse.
✔️ Permite tratamientos más simples
✔️ Reduce riesgos
✔️ Evita procedimientos invasivos
✔️ Ahorra tiempo y dinero
✔️ Protege tu sonrisa a largo plazo
En pocas palabras:
🦷 ver antes = tratar mejor.
💻 Beneficios de la radiografía digital moderna
Hoy en día, la tecnología ha transformado la manera de cuidar tu salud bucal.
Las radiografías dentales digitales ofrecen grandes ventajas:
✨ Menor exposición a radiación
✨ Imágenes de alta precisión
✨ Resultados inmediatos
✨ Mayor comodidad para el paciente
✨ Diagnóstico más confiable y detallado
Además, permiten almacenar y comparar estudios para evaluar cambios con el tiempo 📊🦷.

🏥 ¿Por qué realizar tu radiografía dental en un centro especializado como DICORSA?
En DICORSA, entendemos que una radiografía no es solo una imagen:
👉 es una herramienta clave para la prevención, el diagnóstico temprano y la toma de decisiones responsables.
🔹 Tecnología digital de última generación
🔹 Estudios precisos y confiables
🔹 Enfoque preventivo y profesional
🔹 Apoyo real al odontólogo tratante
🔹 Atención enfocada en el bienestar del paciente
💙 No esperes a que algo duela para cuidar tu sonrisa.
La prevención siempre será la mejor inversión en tu salud dental.
📸 Agenda tu radiografía dental preventiva en DICORSA
y dale a tu dentista la información que necesita antes de que aparezcan los problemas.
👉 Una imagen a tiempo puede evitar tratamientos complejos mañana.
👉 Prevé hoy. Cuida tu sonrisa. Confía en DICORSA. 🦷✨
