¿Sabías que una sola imagen puede revelar el estado completo de tu salud bucal? 🦷📸
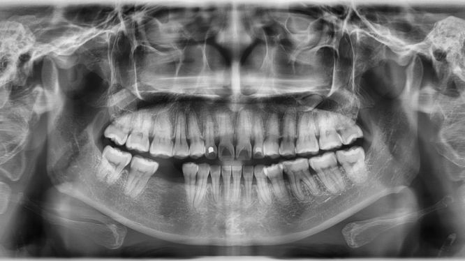
En odontología, la radiografía panorámica es uno de los estudios más solicitados por dentistas y ortodoncistas, y no es casualidad. Este estudio no invasivo permite observar en una sola imagen toda la estructura ósea de la boca, desde la mandíbula hasta el maxilar superior, incluyendo dientes, senos paranasales, articulaciones y más.
Pero… ¿qué es exactamente?, ¿por qué tu dentista la pidió?, ¿y dónde puedes hacerte una radiografía panorámica en Querétaro con calidad y confianza?
Te lo contamos TODO en esta guía completa que preparamos en Dicorsa, el gabinete radiológico de confianza en Querétaro. 💼💙

🔍 ¿Qué es una radiografía panorámica dental?
La radiografía panorámica (también conocida como ortopantomografía) es un estudio de imagen extraoral que permite visualizar en una sola toma toda la estructura ósea de la boca y el rostro inferior, incluyendo:
- Mandíbula y maxilar
- Dientes superiores e inferiores
- Articulaciones temporomandibulares (ATM)
- Senos maxilares
- Huesos faciales
- Raíces dentales
- Muelas del juicio (aunque aún no hayan salido)
- Dientes impactados o no erupcionados
A diferencia de otras radiografías dentales más focalizadas (como las periapicales o bitewing), la panorámica ofrece una vista completa, lo que la convierte en una herramienta indispensable para la evaluación global del paciente.
🧠 ¿Por qué mi dentista me la pidió?
Es una de las preguntas más comunes que recibimos en Dicorsa. Muchas personas creen que se trata de un estudio rutinario sin mucha importancia, pero en realidad, la radiografía panorámica es uno de los pilares del diagnóstico odontológico moderno.
Tu dentista puede solicitarla por varias razones:
✅ Evaluación general:
Ideal para tener una visión completa de la salud bucal del paciente antes de iniciar cualquier tratamiento.
✅ Ortodoncia:
Antes de colocar brackets o alineadores invisibles, es esencial ver el estado de las raíces, la alineación de los dientes y la presencia de piezas retenidas.
✅ Cirugías dentales:
En extracciones (especialmente muelas del juicio), la panorámica permite planear el procedimiento de forma segura.
✅ Implantes dentales:
Ayuda a analizar la estructura ósea y decidir si el paciente es candidato para un implante.
✅ Detección de patologías:
Quistes, tumores, infecciones óseas, fracturas mandibulares y otras condiciones se pueden detectar a tiempo con este estudio.
✅ Odontopediatría:
Para ver cómo vienen los dientes permanentes, si hay agenesia dental o si hay dientes supernumerarios.

⚙️ ¿Cómo se hace una radiografía panorámica?
En Dicorsa, el proceso es rápido, cómodo y sin dolor. Así es como lo hacemos:
- Recepción: Llegas con tu orden del dentista (aunque también podemos hacerla sin orden previa).
- Preparación: Se te pedirá quitar objetos metálicos como aretes, lentes o cadenas.
- Colocación: Te colocas de pie o sentado frente al equipo radiológico, apoyando tu barbilla en un soporte.
- Toma de imagen: El aparato gira alrededor de tu cabeza durante unos 10-15 segundos mientras toma la imagen.
- Entrega: En minutos, generamos la imagen digital y la enviamos directamente a tu doctor o a ti, según prefieras.
🛡️ ¿Es segura la radiografía panorámica?
Sí, completamente. Gracias a los equipos digitales de última generación que usamos en Dicorsa, la exposición a radiación es mínima, mucho menor que en radiografías tradicionales. Además, todo nuestro personal está capacitado para seguir protocolos de seguridad y protección radiológica.
Incluso en pacientes pediátricos o adultos mayores, el procedimiento es seguro, rápido y sin incomodidades.

📌 ¿Dónde puedo hacerme una radiografía panorámica en Querétaro?
Hay varias opciones en Querétaro, pero si buscas calidad, rapidez, atención profesional y tecnología de vanguardia, la mejor elección es Dicorsa.
¿Por qué elegir Dicorsa?
👨⚕️ Especialistas en imagenología dental y ortodóntica
📸 Equipos de última generación para radiografías digitales
💻 Entrega rápida y digital de los estudios, sin papel
🌱 Sistema ecológico y sin impresión, ideal para consultorios digitales
👩💼 Atención personalizada y calidez humana
📍 Ubicación céntrica en Querétaro y fácil acceso para pacientes y doctores
🌐 ¿Cómo agendar una cita en Dicorsa?
Es muy fácil:
📱 Puedes hacerlo por WhatsApp o llamada
🌐 O agendar directamente en nuestro sitio web: www.dicorsa.com.mx
📋 Si tu dentista te dio una orden, solo menciónalo al hacer la cita
📦 Pregunta por nuestro paquete digital: sin papel, sin complicaciones y con máxima velocidad
🤝 ¿Qué ventajas obtiene mi doctor al trabajar con Dicorsa?
Recuerda: aunque tú acudes al estudio, nuestro principal cliente es el doctor que te atiende. Por eso, en Dicorsa nos enfocamos en darles a los dentistas:
- Imágenes precisas para un diagnóstico exacto
- Entrega digital para facilitar el trabajo clínico
- Atención a pacientes con el más alto nivel de profesionalismo
- Estudios complementarios como tomografías CBCT, escáner iTero, modelos 3D, etc.
🧭 ¿Radiografía panorámica? En Dicorsa Querétaro, claro que sí
La radiografía panorámica es mucho más que una simple imagen. Es una herramienta clave que permite a los doctores ofrecer diagnósticos certeros y tratamientos más efectivos.
En Dicorsa, estamos comprometidos con la salud dental de Querétaro, y queremos ser tu gabinete radiológico de confianza. Si buscas un lugar seguro, profesional y con tecnología de punta, te esperamos con gusto.
📍 ¡Visítanos, agenda tu cita y lleva tu salud dental al siguiente nivel!
